Dr. MAN Loganathan was a student at Coimbatore Medical College. He did his postgraduation in KIMS government College at Hubli through all India postgraduate entrance examination. Since 1999 he is doing orthopaedic practice in our region. He’s got 20 years of experience in orthopaedics. He has done many complicated orthopaedic surgeries successfully. He has cured thousands of people who met with accidents and has made them walk again to go back to their work.
He has been a consultant in orthopaedics for many hospitals in our region. He has gone to many orthopaedic conferences and delivered lectures.
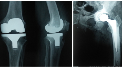
Other than the treatment for fractures he introduced spinal injury management in our region. He has done many knee joint and hip joint replacements. Because of that many old age arthritic patients are walking around without pain.
A lot of keyhole orthopaedic surgeries are being done by him to make the patients to get back to their normal life well very early.
Dr. MAN Loganathan orthopaedic hospital was started in 1999 as a small clinic. In Karthick Hospital Bhavani it continued to grow with the help of Dr. Arasu and Dr. Maneka. Then it was extended into a small hospital at Lotus medicals building under the guidance of Mr. KC Subramanian. Then it was shifted to the old South Indian bank building with two operation theatres and 20 beds.
In 2012 this new hospital has been built in the present place with a lot of facilities and a good infrastructure. This new hospital was inaugurated by excellent teachers and eminent surgeons. Now we have got four operation theatres, ICU, post operative ward, and many specialities. We cater the need of the people of our region.
More
➤ Fracture care
➤ Joint replacement
➤ Spinal injuries and management Arthroscopy
➤ General surgery
➤ Plastic surgery
➤ Obstetrics and gynaecology
➤ Ear Nose Throat
➤ Cardiology
➤ Dental surgery
➤ Paediatric medicine
➤ Opthalmology
➤ Diabetes
If you have any doubt in the medical field don’t hesitate to ask us. Send your WhatsApp messages to the following number we will try to answer your questions and clear your doubts as early as possible or at least within the next 24 hours. Send your questions along with Your name, Age, Native Place, and Cell Phone Number. You can ask us questions through voice messages also.
You can send your x-ray or CT scan or MRI scan reports to our number to get your doubts cleared.
Best questions will be published with answers in our website as well as on our Hospital Facebook page
This service is a free service.
For online consultation please call 9842720444
We have got 206 bones in our body. Each bone is strong and compact but they can withstand only a particular amount of weight and force. If the weight and force exceed the capacity of that particular bone then the bone will bend and get fractured. If the fractured fragments are very near to each other they unite very easily. This kind of fractures can be treated without surgery by the use of plaster of Paris. Like that the hairline fractures can be immobilised for a few weeks so that the fracture will unite on its own.
The vertebral column and the vertebrae give shape to the body. They give the height to the body and maintain the erect position. They help us to bend forwards, to turn to sides and to bend backwards. This vertebral column gives protection to the spinal cord and nerves which travel from the base of the brain to the tip of the vertebral column. Vertebral fractures occur due to the fall from height. They can be injured during the time of accidents.
Human knee joints are strong. They help in standing, walking, sitting, squatting, crosslegged sitting, jumping and swimming. They are very useful for all kinds of human body moments. But when they bear a lot of weight and work too much of time they start degenerating. Initially, the soft tissues in between the bones of a joint Which are known as meniscus start degenerating.
The arthroscope is an equipment that is very useful to inspect and treat the joint pathology and ligament injuries inside a joint. This surgery is being done with the help of a small camera, a light source and arthroscopic instruments. Even very tiny parts of the joint are being seen with the help of magnification. The joint is inspected thoroughly all around with the help of arthroscopy. Even a small tear in the soft tissues of the joint and a small fragment of a bone inside a joint can be seen and can be fixed or removed with accuracy.
The main aim of plastic surgery is to heal the bones of our body by using our own tissues. Our body parts can be injured due to industrial accidents Road traffic accidents. Fingers and limbs can be damaged due to these accidents. Skin, muscles, blood vessels tendons and nerves are being damaged due to these accidents. So the structure of the limbs are altered. Hence the function of the limbs are also altered.
During road traffic accidents there are many dental injuries and Facial bone injuries. Because of these injuries patients will have bleeding and deformity of the face and pain. Many people cannot speak and cannot eat properly. So to correct all these things we need surgical procedures.
Many Types of general surgeries are being performed in our hospital. Appendicitis is a condition where the appendix in our body got inflamed and painful. We perform appendectomy to cure the disease. The hernia is a common condition. In hernia, there is a defect in the abdominal muscles and the intestine is coming out of the abdominal cavity and Start entering into the scrotal sack.
The Department of obstetrics and gynaecology is being run by Dr. Gokilavani Saravanan. Exclusive delivery room, operation theatre and neonatal ward are available for this purpose. Many normal deliveries and caesarean section deliveries are being conducted in our hospital successfully. Apart from this, there are many forms of treatments being given for the deceases of women. Infertility management is being done here.
Dr. M A N Loganathan MS ortho
Chief Ortho Surgeon
Dr. Jothikumar MS
Consultant General Surgeon
Dr. Ramesh
Consultant Diabetologist
Dr. Saravanan
Consultant Paediatrician
Dr. Maheswaran
Consultant ENT Specialist
Dr. Gokilawani Saravanan
Gynaecologist and Obstetrician
Dr. Subramanian
Consultant Cardiologist
Dr. Manikandan
Dental specialist
Dr. Mahendran
Dental specialist
Dr. Karthi
Anesthesiologist
Dr. Prathibha
Anesthesiologist
MRS. Rajeswari Lohanathan
Hospital Cheif Executive Officer
Dr. Satheeshkumar
Consultant Medical officer
Krishnamurthy
Radio grapher
Sumathi
Manager
Prakash
Operation Theater Assistant
Muthu
Lab In-charge
Dinesh
Insurance Coordinator
Karthi
Physiotherapy specialist
Saranya
Receptionist
Manju
Office In-charge
Saravanan
Reception In-charge
Sandhya
In charge of the Inpatient Unit
Raji
Out patient Department In-charge
Sangeetha
In charge of Operation Theater
Thillaiappa
Security In-charge
We are implementing the Tamil Nadu chief ministers insurance scheme in our hospital.
We are also giving treatment for the government servants of Tamil Nadu by a new insurance scheme for the government employees.
We are also treating the pensioners of the government of Tamil Nadu in their insurance scheme.
1. How modern orthopaedic treatment is different from native treatment?
In modern orthopaedic management first, we take an x-ray of the fracture and analyse the type of fracture and according to the nature of injury, we treat the fracture.
We treat either with the help of a plaster of Paris bandage or we do surgery.
And in both the methods we do a check x-ray to confirm the position of the bones.
Students of today make the society of tomorrow.
Only knowledgeable students will make the bright forthcoming generation. And the knowledge about their health, first aid and the public health will be useful for the students to live their life in a healthy way.
To implement these things,on behalf of our hospital we are taking classes in various schools.
On behalf of the Tamil Nadu orthopaedic Association, we conducted a first-aid workshop in our hospital.
In this, the President of Tamil Nadu orthopaedic Association Dr. Ramesh Babu participated. The staff and Hospital workers of all the hospitals of Bhavani participated in this program.
In this workshop, many topics like-how to handle an emergency situation -how to treat an emergency patient- how to start CPR -how to continue CPR- were all explained step-by-step. Participants were taught the procedures with the help of a plastic model.
We have got a quality certificate from the people already. Now we are getting a quality certificate from a national institution. Yes. NABH is a national institution for the assessment of the quality and giving certification to the best institutions in India.
It has got criteria for the assesment of hospitals.